

NO-BLAST SEM ºÐ¼®

ºÎµ¿Å ÇǸ·Áõ
- ³ìº¯È¯Ãþ : NO-BLAST¿Í ¼ÒÁöÇ¥¸éÀÇ ³ì°úÀÇ 2Â÷ ÈÇйÝÀÀ ºÎµ¿Å ÇǸ·ÀÇ »óºÎÃþ
- °è ¸é Ãþ : NO-BLAST¿Í ¼ÒÁöÇ¥¸éÀÇ ³ì°ú 1Â÷ ÈÇÐ ¹ÝÀÀ¿¡ ÀÇÇØ Çü¼ºµÈ Ãþ

NO-BLAST EDS ºÐ¼®
EDS ºÐ¼®À» À§ÇÑ Ç¥¸éÃþ ÃÔ¿µ
(¹èÀ² : 20kv x 300)
¡Ø EDS(¿ø¼ÒÀÇ ºÐ¼®Àåºñ)
| Element | Weight% | Atomic% |
|---|---|---|
| C | 5.78 | 10.86 |
| O | 43.34 | 61.12 |
| Na | 0.58 | 0.57 |
| Al | 0.23 | 0.19 |
| P | 21.50 | 15.66 |
| K | 0.71 | 0.41 |
| Fe | 26.74 | 10.80 |
| Zn | 1.12 | 0.39 |
| Total | 100.00 |
ºÎ½Äº¯È¯ÃþÀÇ Ç¥¸é ±¸¼º ¿ø¼Ò
EDS ºÐ¼®¿¡ ÀÇÇÑ SPECTRUM PEAK
ºÎ½ÄÃþ NO-BLASTµµÆ÷ÈÄ XRD ºÐ¼®
Fe©ü+ +2H2O Fe(OH)©ü+H©ü(¼ö»êÈ Á¦1ö)
¡æ2Fe(OH)©ü+¨öO©ü+ HO ¡æ 2Fe(OH)©ý(¼ö»êÈ Á¦2ö)
¡æ2Fe(OH)©ý+FeO©ý+ 3H ©üO(¾ÈÁ¤µÈ Á¶Á÷)

XRD Ç¥¸é ºÐ¼® °á°ú ³ì Àüȯ Àü ½ÃÆíÀÇ ³ì ¼ººÐÀº ÁÖ·Î FeO(OH)¿´´Ù.
µÎ Á¾·ùÀÇ ³ì ÀüȯÁ¦¸¦ »ç¿ëÇÏ¿© ³ì ÀüȯÇÑ °á°ú Ç¥¸é ¼ººÐÀº
A type (Blue) : Fe3KH14(PO4)84H2O, KFe3H8(PO4)66H2O
B type (green) : Fe3KH14(PO4)84H2O, (Fe0.84Al0.16)3KH14(PO4)84H2O
Fe3(NH4)H14(PO4)84H2O
FeO(OH) ¼ººÐÀÇ ³ì Àüȯ ÃþÀ» Çü¼ºÇÏ¿´°í, ±Ý¼ÓÇ¥¸éÀÇ ³ìÀº ¿ÏÀüÈ÷ Á¦°ÅµÈ °ÍÀ¸·Î ÆÇ´ÜµÊ.
NO-BLAST ³»½Ä¼º ¿°¼öºÐ¹« 400½Ã°£
Blasting+Primer Coating + Top Coating
Blasting + NO-BLAST+ Top Coating
Blasting + ¹ßû + NO-BLAST+Top Coating
- Primer Paint µµÆ÷ : Steel°ú Primer Paint »çÀÌ·Î ºÎ½ÄÀÌ ½ÉÇÏ°Ô ÁøÇà(6mmÀÌ»ó)
- NO-BLASTµµÆ÷ : NO-BLAST ¿Í öǥ¸é »çÀÌ¿¡ ¹æ½ÄÃþ Çü¼ºÀ¸·Î ºÎ½Ä ¹æÁö, ºÎ½Ä ÁøÇà¾ïÁ¦
NO-BLAST Á¢Âø·Â ½ÃÇè
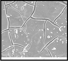
NO-BLASTÀÇ ³ìº¯È¯ÈÄÇ¥¸é ¹Ì¼¼ Crack Çü¼º
Á¢Âø·Â °á°ú:5.7 Mpa (ASTM D 4541±âÁØ
Å×½ºÆ® ÈÄ ºÎ½Äº¯È¯¸é°ú PaintÀÇ Á¢Âø¸é
ºÎ½Äº¯È¯¸éÀÇ ¹Ì¼¼ Crack
À¯±âµµ¸· Á¢Âø·Â ½ÃÇè ºñ±³
½ÃÇè ´ë»ó ½ÃÆí : ź¼Ò°(70 x 150 x 3t) Shot Blast + ¿Á¿Ü Æø·Î¿¡ ÀÇÇÑ ¹ßû
½ÃÆí Á¾·ùº° ºÎÂø·Â °á°ú
| ±¸ ºÐ ½ÃÆíÁ¾·ù |
Á¦ÀÛ¹æ¹ý | TEST ý | °á°ú (MPa) |
ºñ °í |
|---|---|---|---|---|
| NO-BLAST | Blasting+¹ßû +WireBrush+ NO-BLAST+Top Coating | ![]() |
7.436 7.011 |
ASTM D4541 D3359B NORSOK M501±âÁØ |
| NO-BLAST | Blasting+ ¹ßû+NO-BLAST+ Top Coating | ![]() |
6.735 5.929 |
|
| Ÿ»ç(A) ½ÃÆí |
Blasting+ ¹ßû+A+Top Coating | ![]() |
2.827 Æò°¡ºÒ°¡ |
|
| Ÿ»ç(B) ½ÃÆí |
Blasting+ ¹ßû+B+Top Coating | ![]() |
1.611 Æò°¡ºÒ°¡ |









































